GALLERY

 

VENEER CASE

 

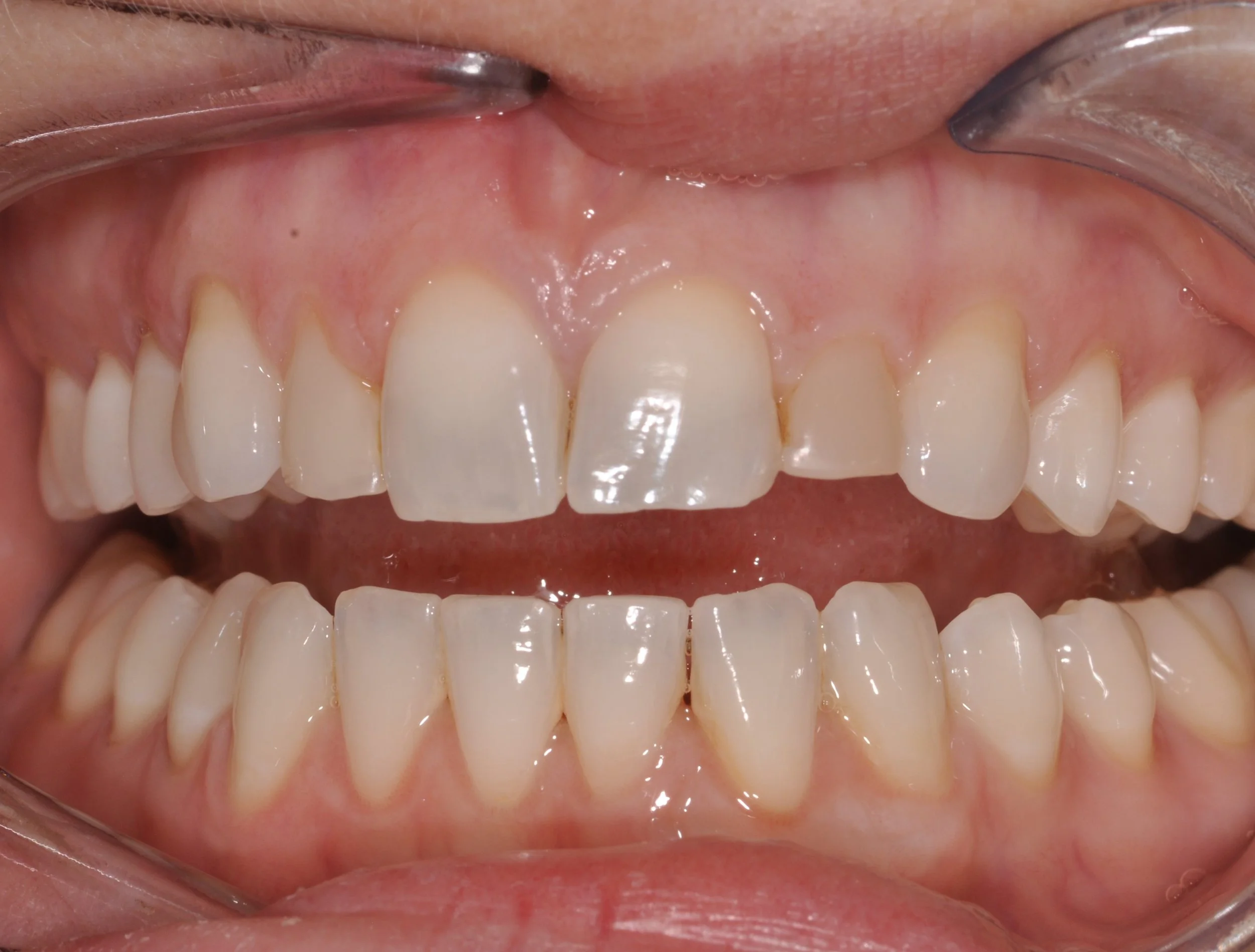
Before

Dislike of the smile with the slightly smaller upper lateral ( side ) incisors

AFter

Tooth whitening followed by 2 veneers on the upper lateral ( side) incisors

Learn more about Veneers
 

VENEER CASE

This client was unhappy with her smile, veneers were placed on the lateral ( side incisors) to give the patient a more even smile.

Learn more about veneers
 
 

TOOTH WHITENING

The client here, presented with a discoloured upper left central incisor ( front tooth). The shade of the tooth was lightened by bleaching the tooth from the inside, so that the shade now matches the upper right central incisor.

 
Learn more about whitening
 

IMPLANTS

 

Replacement of 3 missing teeth with a bridge and 2 dental implants

Learn more about Dental Implants